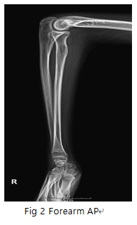
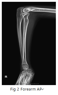
Forearm AP
1. 목적
- ulna과 radius의 fracture 및 fracture에 따르는 elbow joint과 Articulations of hand의 변위 등의 병변 유무를 관찰한다.
2. 검사법
1) 환자자세
① 환자는 sitting으로 한다.
② forearm을 중심 선에 놓고 medio lateral epicondyle를 연결한 선이 카세트면과 평행이 되도록 위치시킨다.

2) 호흡법 : 편안한 상태로 시행한다.
5) 촬영 거리 : SID는 110 cm으로 촬영한다.
6) 영상 결과
① Articulations of hand와 elbow joint 포함
② radial head, neck of radius, radial tuberosity의 ulna Proximal part에 일부 겹침
③ humerus epicondyle의 확대유무 확인
④ forearm의 균일한 영상농도

3. 주의사항
- dislocation 주의 , Articulations of hand과 elbow joint의 포함.
Forearm Lateral
1. 목적
- forearm의 fracture이나 fracture에 따르는 elbow joint과 Articulations of hand의 변위 등의 병변 유무를 관찰한다.
2. 검사법
1) 환자자세
① 환자는 sitting으로 한다.
② elbow 를 직각으로 구부리고 몸을 최대한 낮춰 카세트면에 밀착시킨다.
③ ulna styloid process 연결한 가상의 선이 카세트면과 수직이 되도록 손목의 위치를 조절한다.

2) 호흡법 : 편안한 상태로 시행한다
5) 촬영 거리 : SID는 110 cm으로 촬영한다.
6) 영상 결과
① elbow 의 90“ 구부려야한다.
② Articulations of hand과 elbow joint이 포함되어야 한다.
③ radius, ulna distal부에서 일부 겹쳐야한다.
④ radial tuberosity는 전방을 향해야한다.
⑤ humerus의 both epicondyle는 겹쳐야한다.
⑥ radial head는 coronoid process와 겹쳐야한다.

3. 주의사항
- dislocation 주의, Carpal joint과 elbow joint 충분히 포함.
Forearm Both-Oblique
1. 목적
- ulna과 radius의 fracture 및 fracture에 따르는 elbow joint과 Articulations of hand의 변위 등의 병변 유무를 관찰한다.
2. 검사법
1) 환자자세
① 환자는 sitting으로 한다.
② medial oblique 촬영은 elbow joint의 전면이 카세트면에 40~45도 되게 pronation시킨다.
③
lateral oblique 촬영은 elbow joint의 전후면 자세에서 후면이 카세트면에서 40도 되게 자세를 유지한다.


2) 호흡법 : 편안한 상태로 시행한다.
5) 촬영 거리 : SID는 110 cm으로 촬영한다.
6) 영상 결과
① Articulations of hand과 elbow joint 포함
② radial head, neck of radius, radial tuberosity 의 ulna Proximal part 위에 일부 겹침
③ humerus epicondyle의 확대유무 확인
